Как лечить остеохондроз?

Остеохондроз шейного отдела позвонка является самым распространенным среди всех видов остеохондроза. Так как болезнь очень распространенная то и лечение остеохондроза тоже очень распространенная проблема. Ведь далеко не каждый знает тонкости методики и способы решения проблемы. Самолечение в этом случае никак не поможет, ведь болезнь не лечится простыми мазями и чаями с малиной нужно сразу идти к

Симптомы геморроя и лечение геморроя

Геморрой сейчас довольно распространенная болезнь, которая чаще встречается у мужского пола. Это болезнь хоть и распространена очень сильно, но не каждый преодолеет свое смущение и пойдет с этой проблемой к врачу. Вообще геморрой это болезнь, при которой происходит воспаление узлов прямой кишки, при которой есть возможность выпадения этих узлов, болевые ощущения и кровотечение из заднего прохода.

Ринопластика: операция на носу

На протяжении всей жизни мы делаем разные рискованные вещи, которые могут привести к травмам и прочим проблемам. Да и врожденных проблем с внешностью хватает кривой нос, челюсть и другие части лица никого пока что красивее не сделали, а выглядеть некрасиво никто не хочет. Огромное желание не выглядеть как из фильмов ужасов привело к появлению такой отрасли медицины как Ринопластика. Ринопластика

Техника обезболивания при раке гортани.

Методика проведения обезболивания заключалась в следующем. Премедикация включала 10 мг морфина, 0,50,8 мг атропина и 10 мг димедрола. Индукция в наркоз осуществлялась внутривенно оксибутиратом натрия (7,0 мг/кг массы тела) и седуксеном (0,3 мг/кг массы больного). Наркотический сон наступал спустя 35 минут от начала введения препарата. После действия мышечных релаксантов деполяризующего типа

Проктология: лечение геморроя

Геморрой в повседневной жизни объект шуток и анекдотов. Но только до тех пор, пока не посчастливится познакомится с ним лично. Не даром, на сленге слово гемор означает трудности и проблемы. Да уж, еще какие: зуд, жжение, кровотечение, нестерпимая боль в заднем проходе вот основные симптомы этого заболевания. Чаще всего он развивается постепенно: появляется дискомфорт после приема острой пищи или

Курсы очистки почек

Все известные курсы очистки почек строятся по одинаковой схеме. Для начала стараемся устранить причину появления шлаков и токсичных веществ в организме. Если вы уверены, что ваше питание не здоровое, стоит изменить пищевой рацион. Если вы обнаружили воспалительные процессы в организме, обратитесь к врачу за консультацией. Второй стадией очищения почек становится индивидуальный подбор очищающего

Лечение инфаркта миокарда: определение и симптомы

Все мы знаем или слышали о инфаркте миокарда, но мало кто знает что эти слова значат. Инфаркт это частичный некроз мышц из-за постоянных напряжений или старения, болезней или неправильных препаратов. Болезнь чаще всего случается у спортсменов, которые часто поднимают тяжести и у пенсионеров. Старые люди уже не могут должным образом следить за своим сердцем, а оно постепенно ослабевает и начинает

Рак молочной железы

Рак тяжелое заболевание, а рак молочной железы одна из изученных и изучаемых форм. Это заболевание было известно еще в древнем Египте, хотя термина такого еще не было. В одном из папирусов была найдена запись, где описываются, опухали молочной железы, которые лечили прижиганием огнем. Конечно этот диагноз, серьзное испытание для любой женщины, но отчаиваться не нужно. Женщине, которой поставлен

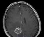
Рак мозга: симптомы, диагностика и лечение опухоли головного мозга

К сожалению, опухоли головного и спинного мозга встречаются сегодня не редко. Они составляют около 5% больных, у которых были обнаружены различные новообразования в организме. Причиной, способствующей развитию опухоли головного мозга, может быть черепно-мозговая травма, частое рентгеновское облучение головы, воздействие винилхлорида - газа, применяющегося при изготовлении изделий из пластмассы,

Геморрой: что такое и способы борьбы с геморроем

Тут можно получить много информации о геморрое геморрой чаще всего регистрируется из заболеваний аноректальной области. Из ста больных, которые обратились к проктологу, у сорока подтверждается диагноз геморрой. Нужно отметить, что не каждый обращается к врачу, а если учесть всех страдающих на это заболевание, то и процент неприятной болезни был бы выше. Чаще всего, этот недуг поражает людей